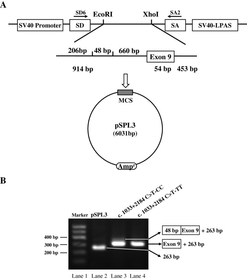
The pSPL3 plasmid (2 µg) is a specialized mammalian expression vector designed for exon trapping and splicing analysis. It features an SV40 promoter and a β-globin exon-intron-exon cassette with engineered splice donor and acceptor sites, enabling the insertion of genomic DNA fragments into its multiple cloning site to investigate alternative splicing events. Ideal for studying gene regulation, validating splicing mutations, and analyzing pre-mRNA splicing, pSPL3 is a powerful tool for molecular biology and functional genomics research.
